ENDODONCIA




Daganzo ClÍnica Dental S.L.
Preguntas Frecuentes
¿Qué síntomas nos hacen pensar en la necesidad de una endodoncia?
Cuando la pulpa del diente está dañada por las diferentes causas el diente se vuelve sensible al frío, al calor y a la masticación con dolores intermitentes o permanente, en ciertas ocasiones aparece flemó posiblemente causado por una contaminación bacteriana en el interior de la pieza dental a nivel de los conductos radiculares, el nervio o la raíz.., es momento pensar en una posible endodoncia si persiste en el tiempo.
¿Cuándo es necesario una endodoncia?
El tratamiento es conveniente cuando por algún motivo los conductos del diente son contaminados por bacterias, llegando a dañar el nervio, los conductos radiculares, la raíz o el hueso maxilar dónde se alberga el diente. Las causada principalmente para esta contaminación son por:
- Caries
- Dientes fracturados
- Lesiones periodontales
- Tallado protésico para la colocación posterior de coronas o puentes.
-Traumatismos dentarios
¿Son más frágiles los dientes tras una endodoncia?
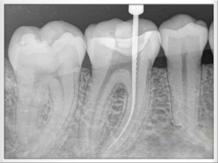
Cuando se realiza una endodoncia se utilizan empastes compactos y homogéneos y si es necesario se refuerza el empaste con pernos o pines para evitar posibles facturas o perdida de la restauración, en el caso de molares y premolares es conveniente colocar una funda o corona para disminuir el riego de fractura.
Un diente correctamente restaurado y tratado con endodoncia no sebe sufrir fractura alguna, pero puede sufrir una fractura con el tiempo por caries u otros factores de sobresfuerzo dental como el bruxismo.
¿Qué molestias tendré tras una endodoncia?
Una vez que el anestésico deja de hacer efecto y durante los días siguientes a la endodoncia puede haber una molestia leve especialmente a la masticación, debida a la inflamación del tejido periodontal. Este síntoma es normal y desapareciendo pasados unos días